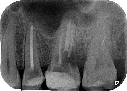
Una radiografía periapical forma parte de las denominadas radiografías intraorales, es decir, aquellas que se realizan mediante la colocación de placas radiológicas de diferente tamaño dentro de la boca, con el fin de obtener imágenes completas de uno o dos dientes y estudiarlo en su totalidad: ápice, corona, raíz, tejido óseo y espacio periodontal.
Para realizar la radiografía periapical se pueden utilizar dos técnicas diferentes: bisección y paralelismo, dependiendo de cómo se coloca la placa y del ángulo de incidencia sobre ella del haz de rayos. En cualquiera de los casos es fundamental que el paciente mantenga la musculatura de la boca muy relejada, con el fin de evitar que se mueva la placa y sea necesario repetirla por obtenerse una imagen borrosa.
El paciente no debe sorprenderse de que a la hora de que se le realice una radiografía periapical el odontólogo o la enfermera le pidan que sea él quién sujete la placa. Ello no supone en ningún caso que el paciente reciba más radiación, pero sí protege a los técnico de que su organismo acumule radiación ionizante.

No hay comentarios:
Publicar un comentario